Dental Implant Surgery

All pictures below are from patients of Dr. Kim’s.

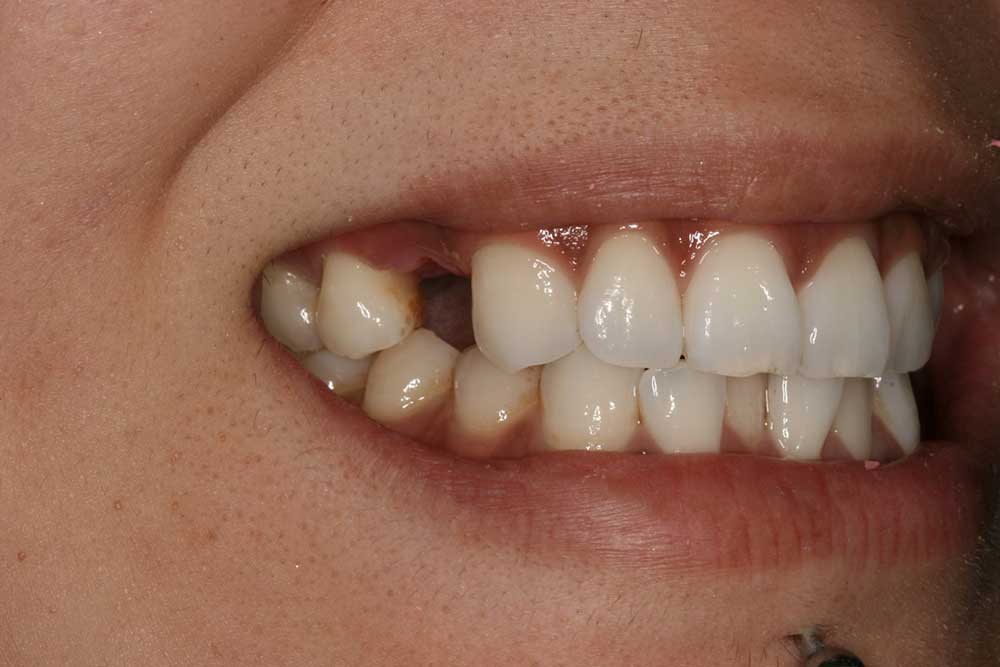
Charles P.

This patient had an Implant placed to replace a missing molar which had been removed due to infection.

Corey E.

This patient had lost his front tooth due to an accident and had an Implant placed to replace it.

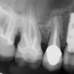
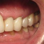
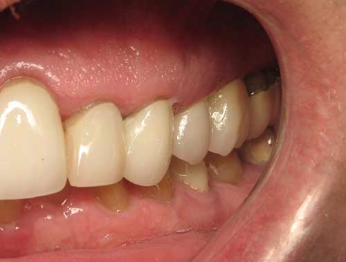
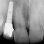
Erin

This patient had a implant place to replace a tooth which had been removed due to infection.

Peggy L.

This patient had broken her tooth and had an Implant placed to replace it.

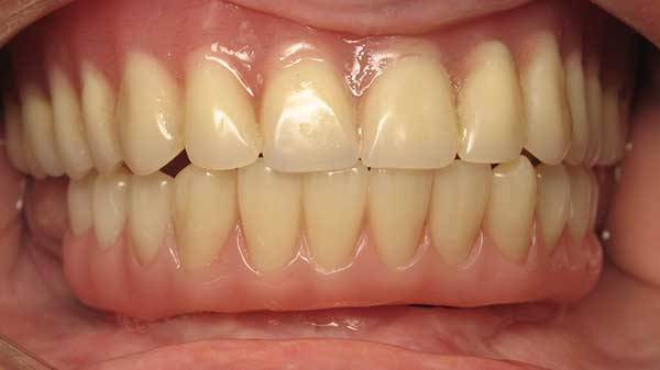
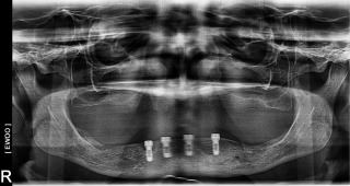
Gloria D.

This patient had been unhappy with her loose lower denture.  Placed four Implants to secure lower denture and she is now happy to report back that she can eat steak!

Anthony A.

This patient had only a few remaining infected teeth, but didn’t want to settle for just a denture.  Placed multiple implants and provided a secure fixed option which allowed him to not only chew better but to smile again.

Consultation

Having been open for over a decade, Pacific Smiles has had repeated patient satisfaction with successful results. Dr. Tully has performed many difficult Implant Dentistry and Cosmetic cases, leaving the patient with a beautiful smile that looks natural.

step-1

Schedule

Schedule a No Cost, No Pressure Cosmetic or Dental Implant Consultation. Click the link below and sign up for your consultation.

 

step-2

The Visit

Dr. Kim will provide an honest assessment and review all your cosmetic or dental implant needs. And based upon your expectations and budget he will review all your options from the very basic to the most complex in an informative and easy to understand manner.

Fred J. Kim, DDS, FAAID
Meet The Expert

Fred J. Kim, DDS, FAAID

Dr. Kim and his caring staff are truly committed to providing the best, comfortable and positive experience in an honest and non-confrontational manner. Our goal is to offer high quality Dental Implant and Cosmetic treatment while working hard to ensure that you feel at ease while you’re here and satisfied when you leave.

Dr. Kim provides a unique perspective in that he is able to provide Dental Implant Surgery and World Class Dental Esthetics under one roof. Dr Kim is considered an expert in dental implants and cosmetic dentistry among his dentist and periodontist colleagues, and has been Board Certified by the American Board of Oral Implantology/Implant Dentistry.

American Board of Implantology - American Academy of Implant Dentistry - Ammerican Academy of Cosmetic Dentistry

ABOI        |        AAID        |        AACD

Reviews and Testimonials in Redondo Beach

Don't take our word for it. Let our patients tell you it was worth it!

Scroll to Top